
Здравствуйте! Уже более 25 лет я занимаюсь своим любимым делом - улучшаю качество жизни людей.
Прекрасно понимаю боль пациентов в плане выбора доктора и лечения зубов. Поэтому фундаментом моего подхода является человеческое отношение и внимание к деталям. Медицина быстро шагает вперед, поэтому все 25 лет я продолжаю улучшать свои навыки у лучших мастеров РФ, Италии, Германии и Юж. Кореи.
Записывайтесь на консультацию, с удовольствием отвечу на все ваши вопросы.
С уважением, Шушаков С.Б.
Планирование
Комплексное планирование лечения. Всегда даю пациентам варианты и право выбора по какому плану пойдет лечение
протезирование
Восстановление зубов (коронки металлокерамика/керамика/циркон)
хирургия
Удаление зубов мудрости и другие операции
имплантация
Восстанавливаем отсутствующие зубы с помощью современных цифровых технологий
лечение зубов
Спасаю зубы, которые "приговорили" к удалению, по современным мировым протоколам
Восстановление эстетики и жевательной функции керамическими реставрациями


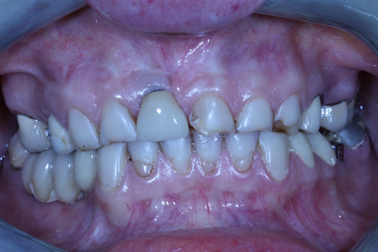
До
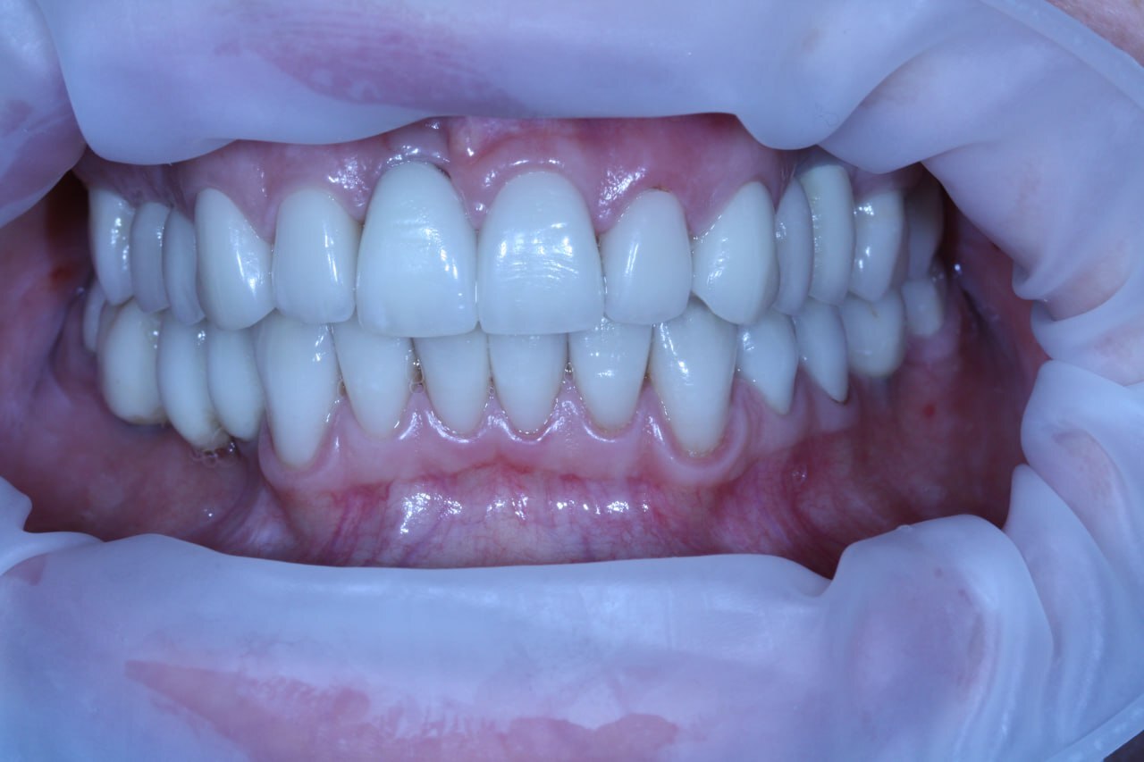
После
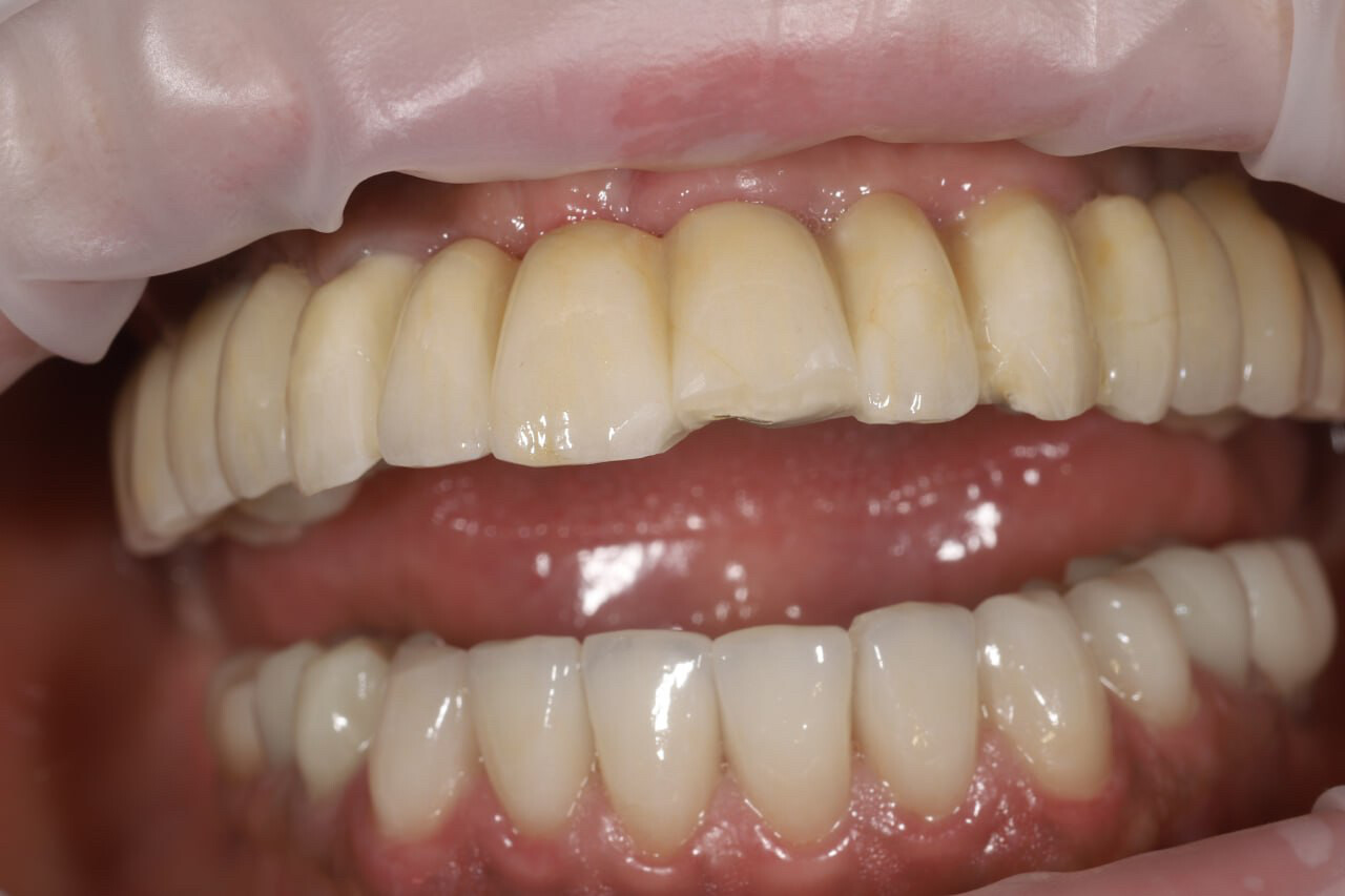
Замена старых коронок и восстановление нижнего ряда зубов коронками


До
После
Восстановление зубов композитным материалом


До
После
Восстановление верхних зубов по методу "все на 4-х"


До
После
Восстановление жевательной функции


До
После
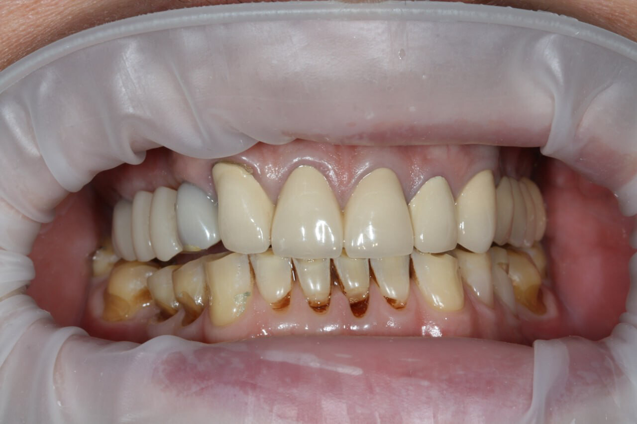
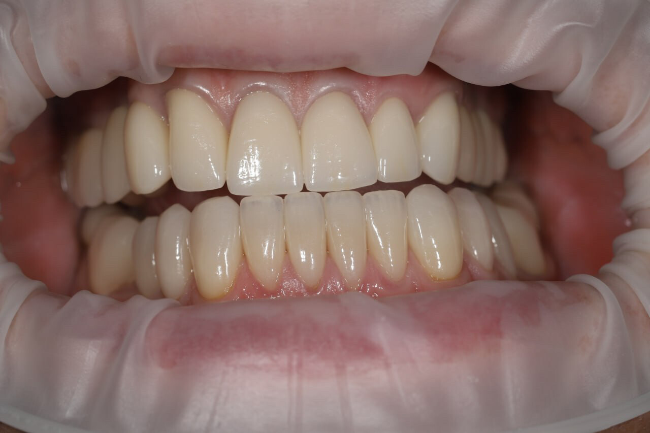
Замена несостоятельных протезов


До
После










Я хорошо понимаю, что визит к врачу - это всегда стресс. Поэтому стараюсь создать максимально комфортные и доверительные отношения с каждым своим пациентом.
Наша встреча начнется со знакомства и консультации, где я отвечу на ваши вопросы. В открытой форме мы обсудим, что хотите получить именно вы, а также какой план лечения будет для вас комфортным (в том числе финансовая его часть). Чувствуйте себя хорошо и до встречи на консультации.